L’Ambulatorio Privato di Odontoiatria del Prof. Checchi 是Checchi教授的私人牙科诊所。Checchi教授是一位大学教授同时经营着自己的私人牙科诊所,一直致力于口腔健康与牙科疾病的治疗,是一名专业的口腔科外科医生。 将近四十年,我们通过多学科的方法致力于保护您的口腔健康与美丽,守护您的笑容。 职业经验的积累与不断更新的技术是我们工作的关键词。美国式的组织和工作方法旨在优化最佳临床结果,关注每一个有需要的人。 严格的医学培训、对您需求的关注、对口腔卫生的一丝不苟的护理、专门配备和放松的环境,结合微创治疗和无痛治疗一起为您创造最佳治疗条件。 点击Contatti以安排您的第一次检查,同时可查阅Blog部分以发现 Checchi 教授的视频,这些视频将有助于您进一步理解病理学和我们治疗。
Blog
Home/Blog/Parodontite o piorrea: quello che il paziente deve sapere
Parodontite o piorrea: quello che il paziente deve sapere
Nov 03, 2022
Parodontite, piorrea e malattia parodontale sono sinonimi che indicano la medesima condizione clinica e cioè un’infezione batterica che colpisce e, nel tempo, distrugge i tessuti che circondano il dente.
Va precisato che normalmente nella nostra bocca è presente un microbiota orale –migliaia di batteri aggregati fra loro ed aderenti alle superfici dentali – che, se tenuto sotto controllo attraverso un’attenta igiene orale, viene considerato normale e fisiologico.
L’incontrollato accumulo di batteri sulle superfici dei denti sviluppa e determina invece microrganismi altamente patogeni, causa primaria sia delle carie che della gengivite e della parodontite. Spesso il paziente non si rende conto di questa situazione dal momento che non presta attenzione a quel millimetro di placca che, sollevato durante il controllo con una sonda parodontale, può contenere più di 300 specie batteriche e che quantitativamente può essere espresso in 108 (cioè 100 milioni di batteri). Una enormità di batteri che tutti assieme prendono il nome di placca batterica (fig. 1).
Fig. 1 Placca batterica
Gengivite: ricerca e cenni storici
Ma come facciamo ad essere certi che il sanguinamento che notiamo al mattino sul cuscino o durante lo spazzolamento sia veramente causato dai batteri? Nel lontano 1965 un ricercatore di nome Loe pubblicò un semplice ma intelligente studio eseguito su di un ristretto gruppo di collaboratori. Questi smisero di lavarsi i denti per circa sette giorni, osservando l’insorgenza di sanguinamento gengivale da gengivite, patologia questa che poi scomparve alla ripresa dello spazzolamento. Un’altra dimostrazione sulla causa-effetto, batteri-malattia, si ha osservando animali germ-free (ovvero allevati in ambiente sterile) i quali, non avendo batteri, presentano un perfetto parodonto senza alcun sanguinamento.
Sanguinamento, alitosi, tartaro
La parodontite-piorrea è una malattia batterica assai diffusa la cui espressione clinica è data da:
una alterazione dei tessuti gengivali che si ingrossano e diventano rossi/bluastri, presentando spesso un sanguinamento spontaneo durante lo spazzolamento;
una presenza di importante quantità di placca batterica che, calcificandosi, prende il nome di tartaro o calcolo dentale;
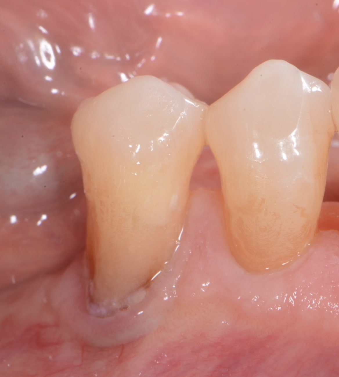
presenza di alitosi o cattivo odore a provenienza dal cavo orale; A volte tale patologia si accompagna a recessioni gengivali che rendono i denti più lunghi, accompagnati da ampi spazi interdentali non più riempiti dalla gengiva (fig. 2).
La presenza di questi segni richiede un controllo specialistico parodontale che dovrà essere effettuato, meglio se da un parodontologo, con l’ausilio di un set di 16 radiografie endorali. L’esame parodontale, cioè il sondaggio, il controllo delle forcazioni, la mobilità, la presenza di tasche o di recessioni, verrà raffrontato ai dati radiografici precedentemente rilevati per una ulteriore conferma o meno della patologia presente.
Solo a questo punto si comincerà ad avere una idea più chiara dello stato parodontale della bocca del paziente e, conseguentemente, della terapia che dovrà essere effettuata. La visita si concluderà con test microbiologici, micologici e virali, con il profilo ematico del paziente e con un set di fotografie che serviranno non solo come ulteriore studio- controllo ma anche come raffronto con il risultato finale.
Fig. 2 è presente placca batterica in abbondanza, recessione gengivale. Da notale l’assenza di papille negli spazi interdentali.
Placca batterica e terapia clinica
Diverse sono le situazioni cliniche che, in presenza di placca batterica, possono avverarsi:
una semplice gengivite, patologia che è reversibile quindi curabile con successo mediante un trattamento professionale e domiciliare di controllo della placca batterica e dei co-fattori ad essa collegati. Il paziente viene cioè istruito a praticare una igiene orale corretta (motivazione ed istruzione igienica) e nello stesso tempo ripulito dalla placca batterica e dal tartaro mediante una serie di procedure professionali che comunemente vengono assemblate sotto il nome di detartrasi.
Piorrea o parodontite, patologia parzialmente reversibile caratterizzata dalla formazione di una tasca gengivale e di un difetto osseo attorno all’elemento dentale. La terapia eziologica si avvale di ripetute sedute, sotto anestesia locale, di curettage radicolare (sinonimi spesso usati nel parlare comune: pulizia sottogengivale, scaling e root planing, detartrasi profonda con anestesia) seguite, se ve ne è necessità, da chirurgie parodontali che mirano ad eliminare o a ridurre la tasca che circonda il dente. Nel dettaglio, durante la chirurgia il dente viene spogliato dai tessuti che lo rivestono così da apparire solo circondato dall’osso. L’elemento dentario viene poi ripulito da qualsivoglia “detrito” (tartaro, placca e tossine batteriche) presente sulla sua superficie, l’osso attorno al dente viene risagomato per ottenere una anatomia quanto più positiva possibile (simile all’anatomia sana) o riempito di biomateriali se il difetto osseo è contenitivo. Ottenuti questi risultati, il lembo viene riadagiato sull’osso e suturato.
Recessione gengivale o scivolamento della gengiva del dente che lascia l’elemento dentale più lungo e quindi esteticamente più brutto e che può essere dovuta alla parodontite o a micro-traumi spesso dovuti a ripetuti spazzolamenti associati ad un uso abnorme di dentifricio. In questo ultimo caso è indicata la terapia muco-gengivale che normalmente ottiene un successo più o meno completo, mentre la recessione da mancanza di osso attorno al dente nella parodontite pregiudica il successo parodontale completo e la rigenerazione gengivale (= ricopertura del dente) è quasi sempre parziale. Va ricordato che la quantità di dentifricio da utilizzare è pari ad una lenticchia.
Terapia di sostegno o di mantenimento
Questa altra fase clinica non è che una serie di controlli trimestrali (controllo generale del cavo orale, ri-motivazione e detartrasi) mirati a mantenere la placca batterica nei limiti fisiologici e ad impedire il riformarsi di tasche parodontali. È una fase importantissima che dura tutta la vita e che va insegnata quanto prima ai figli ed alla famiglia tutta.
Parodontite – piorrea: conclusioni
La parodontite-piorrea è una malattia infiammatoria subdola in tutte le sue forme perché è silente, cronica e recidivante se non viene attentamente monitorata e controllata. Insomma, una vera e propria mina vagante che deve essere diagnosticata quanto prima e curata con l’aiuto del parodontologo e dell’igienista dentale.
Ban Lindhe Clinical periodontology and implant dentistry Munksgaard 1997
Benazzi, L. Checchi, G. A. Pelliccioni. Radiografie: utilità di alcune tecniche. Dental Cadmos 15: 103-109; 1991
L. Checchi In tema di Parodontologia: Metodica d’analisi medica in corso di terapia parodontale. Dental Cadmos 3/85, pag. 105-110
L. Checchi In tema di Parodontologia: l’esame parodontale. Dental Cadmos 10/85, pag. 97-104
L. Checchi Confini della gengiva aderente: rassegna della letteratura. Dental Cadmos 2/84, pag. 73-77
L. Checchi, H. Sachs La mobilità dentaria. Dental Cadmos 4/84, pag. 55-59
O. Bahat, L. Checchi La terapia iniziale nel trattamento parodontale. Mondo Odontostomatologico 2/83, pag. 33-38
Loe et Al., H. Loe, E. Theilade, S. B. Jensen. Experimental gingivitis in man May-Jun 1965;36:177-87. Doi: 10.1902/jop.1965.36.3.177.
Come si risolve il problema dell’epulide?
L’epulide è un tumore prevalentemente benigno (99% circa), ha una forma rilevata,…
Questo sito fa uso di cookie per migliorare l’esperienza di navigazione degli utenti e per raccogliere informazioni sull’utilizzo del sito stesso. Utilizziamo sia cookie tecnici sia cookie di parti terze per inviare messaggi promozionali sulla base dei comportamenti degli utenti. Può conoscere i dettagli consultando la nostra privacy policy qui. Proseguendo nella navigazione si accetta l’uso dei cookie; in caso contrario è possibile abbandonare il sito.Ok