

Viviamo in una società iperattiva, densa di attività e di richieste continue di prestazioni mediche ed odontoiatriche ottimali.Se a tutto ciò si aggiunge l’aumento della vita media, un incremento ed ampliamento delle procedure terapeutiche con appuntamenti più lunghi (anche pomeridiani o serali), nonché nuove tipologie di pazienti odontoiatrici quali diabetici, cardiopatici, trapiantati, si devono poter […]
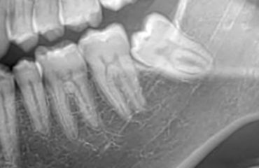
La parodontite o piorrea è una delle malattie più diffuse al mondo ed è caratterizzata da un’infiammazione cronica causata da microrganismi specifici che si trovano nella placca batterica che provoca, se non curata, la distruzione dei tessuti di sostegno dei denti (cioè del parodonto) e conseguentemente la loro perdita.La parodontite è una malattia che può […]
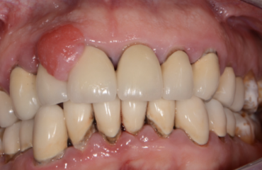
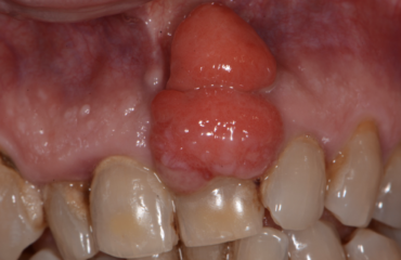
Parliamo di nuovo dell’epulide, tumore al 99% dei casi benigno, di origine parodontale (prende origine del legamento e non dalla gengiva) e di forma, il più delle volte, rotondeggiante e o trapezoidale.La si trova prevalentemente sui denti anteriori creando importanti inestetismi e a volte ostacolando le funzioni delle labbra.Il meccanismo per cui si sviluppa un’epulide […]
Lo spazzolino elettrico è un presidio igienico che produce movimenti automatici e veloci delle setole in diverse direzioni ed è considerato un presupposto essenziale per la salute orale.Lo spazzolino rimuove i residui di cibo e la placca batterica dalle superfici orali, esercita un’azione di massaggio sulla gengiva e riduce I’infiammazione dei tessuti.Fra gli spazzolini elettrici […]