L’Ambulatorio Privato di Odontoiatria del Prof. Checchi 是Checchi教授的私人牙科诊所。Checchi教授是一位大学教授同时经营着自己的私人牙科诊所,一直致力于口腔健康与牙科疾病的治疗,是一名专业的口腔科外科医生。
将近四十年,我们通过多学科的方法致力于保护您的口腔健康与美丽,守护您的笑容。
职业经验的积累与不断更新的技术是我们工作的关键词。美国式的组织和工作方法旨在优化最佳临床结果,关注每一个有需要的人。
严格的医学培训、对您需求的关注、对口腔卫生的一丝不苟的护理、专门配备和放松的环境,结合微创治疗和无痛治疗一起为您创造最佳治疗条件。
点击Contatti以安排您的第一次检查,同时可查阅Blog部分以发现 Checchi 教授的视频,这些视频将有助于您进一步理解病理学和我们治疗。
Blog


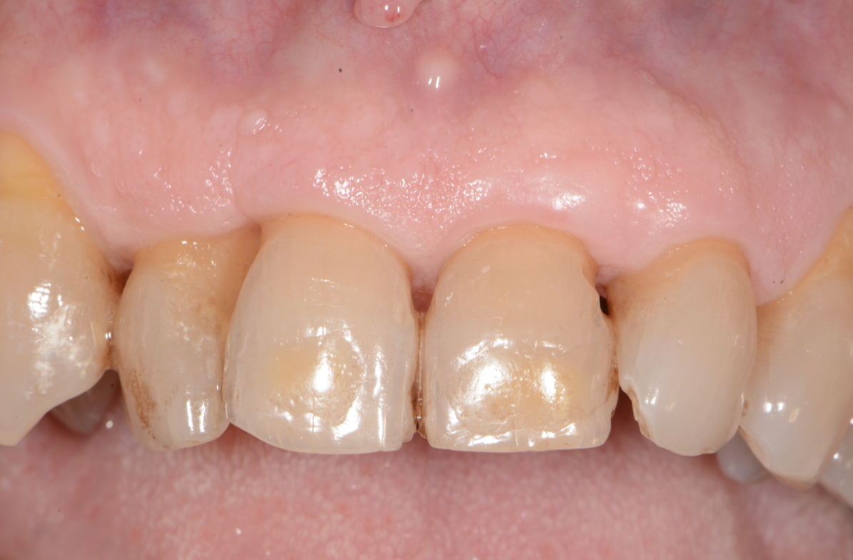
Epulide bilobata
Gen 14, 2026
Parliamo di nuovo dell’epulide, tumore al 99% dei casi benigno, di origine parodontale (prende origine del legamento e non dalla gengiva) e di forma, il più delle volte, rotondeggiante e o trapezoidale.
La si trova prevalentemente sui denti anteriori creando importanti inestetismi e a volte ostacolando le funzioni delle labbra.
Il meccanismo per cui si sviluppa un’epulide è attualmente poco noto e probabilmente multifattoriale. Vi sono comunque evidenze cliniche che associano tale formazione alla presenza continuativa di placca batterica e tartaro e quindi si pensa si tratti di una reazione ad un importante processo infiammatorio gengivale mediato dalla placca batterica in bocche igienicamente trascurate.
Epulide bilobata: caso clinico
È capitata la nostra attenzione una forma molto particolare di epulide, una doppia massa di altezza di 10 mm e larghezza di 12 su di una bocca con una igiene orale deficitaria con molta placca batterica ed imponenti depositi di tartaro.
L’esame microbiologico ha evidenziato una carica batterica di germi patogeni pari al 32% dove il complesso rosso e cioè di batteri ancor più patogeni, predominava al 91% .
Gli esami ematochimici erano nella norma ad eccezione dei trigliceridi e della Vit D che veniva immediatamente supplementata.
Nulla di rilevante all’esame radiografico nella sola area dove era presente la formazione.
Al paziente sono state fornite specifiche istruzioni di igiene orale, sottoposto a numerose sedute di pulizia professionale (detartrasi sopragengivale e scaling e root planing) e la massa è stata biopsata riscontrando una flogosi cronica, una fibrosi marcata e numerosi aspetti di iperplasia.
La chirurgia parodontale ha rimosso la massa esuberante ottenendo a distanza di 5 mesi un risultato ancora provvisorio ma incoraggiante.
Conclusioni
Importante è quindi la diagnosi della patologia presente alla quale va sempre associata una terapia igienica professionale e personale volta a ridurre il volume della massa presente.
Solo e soltanto dopo aver espletato ripetute sedute di scaling e root planing sull’area in oggetto ed aver lasciato un lasso di tempo idoneo – almeno 60 giorni – affinchè la terapia igienica domiciliare del paziente possa esplicare il suo effetto riducendo la massa presente, si potrà procedere alla chirurgia parodontale.
Per approfondire:
Epulide i miglioramenti dati dalla terpia genica
Come si risolve il problema dell’epulide? Casi clinici
Bibliografia:
- Checchi V., Masi I., Checchi L.
L’innesto connettivale nel trattamento chirurgico dell’epulide: caso clinico
Dental Cadmos, 2019, 2, 102-108
- Paris Tamiolakis et all.
Localised gingival enlargements. A clinicopathological study of 1187 cases.
Oral Medicine and Oral Pathology. 2018, I, 23, 320-5.
- Checchi L, Marini I, Montevecchi M.
A technique to remove epulis: case reports.
Int J Periodontics Restorative Dent 2004;24:470-5
- Checchi L.
Epulide ed innesto bilaminare: alternative all’escissione.
Dental Cadmos 1998;8:11-4.

I miti da sfatare nel campo dell’igiene orale
Una corretta igiene orale passa prima di tutto dalla consapevolezza della veridicità…
Read More03.02.2022

Tooth Mousse
Cosa bisogna fare per difendere i denti?
E difenderli da che cosa?
Dalla placca batterica? Dalla…
Read More18.05.2020

Piorrea e alimentazione
Come non ammalarsi di piorrea in un ambiente come il nostro dove la scelta…
Read More31.07.2020

La salute delle gengive influenza lo stato delle arterie
La scienza indaga da anni sulle interazioni fra malattia parodontale e malattie a distanza…
Read More05.11.2019