
La disodontiasi è un fenomeno doloroso associato ad un’alterazione del normale processo eruttivo dei…



di Luigi Checchi
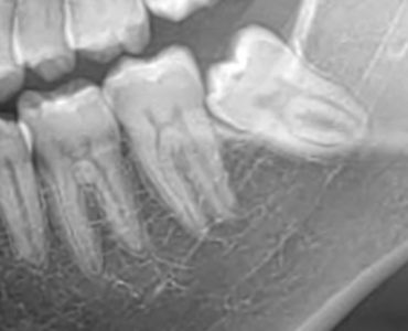
Didascalia foto : L’ortopantomografia (OPT) è l’esame standard per valutare la posizione e l’anatomia del dente del giudizio. In questa immagine si osserva il rapporto di vicinanza tra le radici e il canale mandibolare, punto di partenza per ogni corretta diagnosi.
L’estrazione del terzo molare inferiore (dente del giudizio) è uno degli interventi più comuni in chirurgia orale. Tuttavia, quando gli esami radiografici evidenziano una stretta contiguità tra le radici del dente e il canale mandibolare, la procedura assume un livello di complessità significativamente maggiore.
In questi casi, il rischio principale è rappresentato dalla possibile lesione del nervo alveolare inferiore, che può determinare una parestesia del labbro inferiore e del mento, con conseguenze talvolta persistenti sulla qualità di vita del paziente.
È quindi fondamentale sottolineare che, in presenza di condizioni anatomiche critiche, l’estrazione tradizionale non rappresenta l’unica opzione terapeutica.
La valutazione diagnostica rappresenta il passaggio cruciale per la gestione del rischio.
L’ortopantomografia (OPT) costituisce l’esame di primo livello e consente una valutazione generale della posizione del dente e del suo rapporto con il canale mandibolare. Tuttavia, essendo un esame bidimensionale, può presentare limiti in termini di precisione.
Nei casi in cui si osservi una possibile sovrapposizione tra radici e canale, è indicato un approfondimento mediante CBCT (tomografia computerizzata a fascio conico), che permette una valutazione tridimensionale accurata e una pianificazione terapeutica più sicura.
In presenza di denti del giudizio a stretto contatto con il nervo, è possibile adottare un approccio alternativo alla chirurgia immediata: l’ortodonzia estrattiva.
Questa tecnica prevede una combinazione di trattamento ortodontico e chirurgico:
viene applicato un dispositivo di trazione sul dente incluso
si realizza una lenta estrusione ortodontica
il dente viene progressivamente allontanato dal canale mandibolare
Solo dopo aver raggiunto una distanza di sicurezza dal nervo, si procede con l’estrazione.
Questo approccio consente di ridurre in modo significativo il rischio di danno neurologico, trasformando un intervento potenzialmente critico in una procedura più controllata.

Il molare a contatto del nervo prima della terapia. In basso: al termine dell’estrusione ortodontica, il dente appare sollevato e lontano dal canale. Si noti il livello osseo rigenerato vicino al secondo molare.
Rispetto all’estrazione tradizionale nei casi ad alto rischio, l’ortodonzia estrattiva offre diversi vantaggi:
Maggiore sicurezza neurologicaNei dati clinici disponibili, il rischio di lesioni permanenti risulta estremamente ridotto.
Miglioramento delle condizioni osseeL’estrusione favorisce fenomeni di rigenerazione ossea nell’area interessata.
Approccio biologicamente conservativoLa procedura rispetta i tessuti duri e molli.
La tecnica è indicata soprattutto per denti in posizione verticale o inclinata; nei casi di inclusione orizzontale possono essere valutate alternative, come la coronectomia o l’estrazione del secondo molare e l’estrusione dell’ottavo al suo posto.
Va ricordato che l’ortodonzia estrattiva richiede un approccio graduale e tempi più lunghi rispetto alla chirurgia tradizionale.
La durata del trattamento può variare indicativamente tra 6 e 12 mesi, a seconda della posizione del dente e della risposta biologica individuale.
Tale aspetto deve essere chiaramente discusso con il paziente, nell’ambito di un consenso informato completo.
La gestione dei terzi molari inferiori in rapporto con il canale mandibolare richiede un’attenta valutazione clinica e radiologica.
Informare il paziente sulle diverse opzioni terapeutiche — inclusi gli approcci più conservativi — è parte integrante della responsabilità clinica.
In presenza di un rischio neurologico, la scelta di un percorso più graduale ed alternativo può rappresentare una soluzione razionale, orientata alla massima tutela dell’integrità nervosa.
No, nella maggior parte dei casi è temporanea, ma in una piccola percentuale può diventare permanente.
Generalmente è ben tollerata; il fastidio è paragonabile a quello di un trattamento ortodontico leggero.
No, l’indicazione dipende dalla posizione delle radici del dente rispetto al nervo alveolare inferiore.
Bibliografia:

La disodontiasi è un fenomeno doloroso associato ad un’alterazione del normale processo eruttivo dei…
