Dente del giudizio

dente del giudizio
Dente del giudizio vicino al nervo: rischi e soluzioni sicure
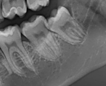
di Luigi Checchi Didascalia foto : L’ortopantomografia (OPT) è l’esame standard per valutare la posizione e l’anatomia del dente del giudizio. In questa immagine si osserva il rapporto di vicinanza tra le radici e il canale mandibolare, punto di partenza per… Leggi
Mar 30, 2026
Terzo molare inferiore sinistro a contatto con il canale mandibolare
Lesioni del nervo alveolare inferiore a seguito di estrazione del dente del giudizio
Tra le numerose possibili complicanze post-estrattive del terzo molare inferiore, la parestesia del nervo alveolare… Leggi
Mar 01, 2024
lesione nervo alveolare
La lesione del nervo alveolare inferiore: considerazioni cliniche
[Immagine di un dente del giudizio in contiguità con il canale mandibolare] La lesione del… Leggi
Ott 06, 2022
Disodontiasi del dente del giudizio
Disodontiasi del dente del giudizio
La disodontiasi è un fenomeno doloroso associato ad un’alterazione del normale processo eruttivo dei denti.… Leggi
Giu 02, 2021
Il dente del giudizio inferiore: quanto tempo impiega ad uscire?
L’eziologia e la frequenza di inclusione del terzo molare inferiore sono state nel recente passato… Leggi
Mag 15, 2021
Ortodonzia estrattiva: il dente del giudizio viene allontanato con tecnica ortodontica dal nervo alveolare inferiore
Parestesia, dente del giudizio e nervo mandibolare
Che cosa è la parestesia e come può un dente del giudizio causare una alterazione… Leggi
Apr 15, 2021
Menu