L’Ambulatorio Privato di Odontoiatria del Prof. Checchi 是Checchi教授的私人牙科诊所。Checchi教授是一位大学教授同时经营着自己的私人牙科诊所,一直致力于口腔健康与牙科疾病的治疗,是一名专业的口腔科外科医生。 将近四十年,我们通过多学科的方法致力于保护您的口腔健康与美丽,守护您的笑容。 职业经验的积累与不断更新的技术是我们工作的关键词。美国式的组织和工作方法旨在优化最佳临床结果,关注每一个有需要的人。 严格的医学培训、对您需求的关注、对口腔卫生的一丝不苟的护理、专门配备和放松的环境,结合微创治疗和无痛治疗一起为您创造最佳治疗条件。 点击Contatti以安排您的第一次检查,同时可查阅Blog部分以发现 Checchi 教授的视频,这些视频将有助于您进一步理解病理学和我们治疗。
Blog
Dente del giudizio vicino al nervo: rischi e soluzioni sicure
di Luigi Checchi Didascalia foto : L’ortopantomografia (OPT) è l’esame standard per valutare la posizione e l’anatomia del dente del giudizio. In questa immagine si osserva il rapporto di vicinanza tra le radici e il canale mandibolare, punto di partenza per… Leggi
Mar 30, 2026
Il ruolo delle benzodiazepine in odontoiatria
Viviamo in una società iperattiva, densa di attività e di richieste continue di prestazioni mediche… Leggi
Mar 02, 2026
Curcuma e parodontite
La parodontite o piorrea è una delle malattie più diffuse al mondo ed è caratterizzata… Leggi
Feb 02, 2026
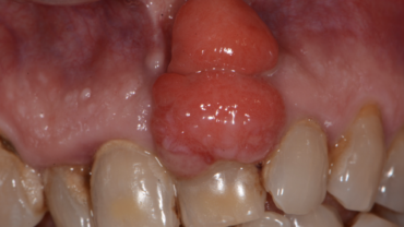
Epulide bilobata
Parliamo di nuovo dell’epulide, tumore al 99% dei casi benigno, di origine parodontale (prende origine… Leggi
Gen 14, 2026
Lo spazzolino elettrico sonico
Lo spazzolino elettrico è un presidio igienico che produce movimenti automatici e veloci delle setole… Leggi
Dic 01, 2025
La melagrana: super food
Ho iniziato in questi primi giorni di settembre la raccolta delle melagrane Aco, una dei… Leggi
Ott 01, 2025
La Salute Orale: una finestra sulla salute generale
Autore: Prof. Francesco Violante La salute orale è più importante di quanto possiamo immaginare. Scopriamo… Leggi
Set 01, 2025
La saliva in odontoiatria
Autore: Luigi Checchi La saliva è un liquido incolore prodotto dalle ghiandole salivari (parotidi e… Leggi
Lug 31, 2025
I nuovi farmaci per l’obesità: un problema risolto o un nuovo problema?
Autore: Prof. Edoardo Mannucci Professore Associato di EndocrinologiaUNIVERSITÀ DEGLI STUDI DI FIRENZEDipartimento di Scienze Biomediche,… Leggi
Lug 11, 2025
Adrenalina sì o adrenalina no? Cosa usare per l’anestesia odontoiatrica?
Spesso qualche paziente, specie se anziano, mi chiede con tono supplichevole “Mi raccomando, mi faccia… Leggi